
腰、肩、膝の痛み、スポーツ障害、施療の為の手技、キネシオ療法、PNF。
著明な依頼、はすぐにレントゲン、MRI等検査を行うことが可能です。
当院とドクターとで、患者様の治癒までドクターの委任で最後までフォロー致します。
レントゲンはすぐにCDに焼き、患者様と共に確認できます。
※ 今日、スポーツ保険等又は障害保険加入の患者様が多く、骨折脱臼等は、昔と違い明確にしないと、
特例として証明されにくくなっております。
当院は症状別に協力病院・協力ドクターがいますので、確認と共に証明も可能です。
※ 健康保険すべて 事故、生活保護(ドクターと共にサポートできております)労災可
著明な依頼、はすぐにレントゲン、MRI等検査を行うことが可能です。
当院とドクターとで、患者様の治癒までドクターの委任で最後までフォロー致します。
レントゲンはすぐにCDに焼き、患者様と共に確認できます。
※ 今日、スポーツ保険等又は障害保険加入の患者様が多く、骨折脱臼等は、昔と違い明確にしないと、
特例として証明されにくくなっております。
当院は症状別に協力病院・協力ドクターがいますので、確認と共に証明も可能です。
※ 健康保険すべて 事故、生活保護(ドクターと共にサポートできております)労災可

![]() |
![]() |
![]() |
|
| 右第5基節骨折固定中 | Drの依頼によりヘルニアの牽引中 | ドッチボールにより右第5指基節骨折Dr依頼により治癒まで固定管理 | |
![]() |
![]() |
![]() |
|
| キネシオティーピング中 | 部活により捻挫によるティーピング中 | 転倒し、右鐙骨前腕骨骨折。Drの委任により治癒まで治療 | |
![]() |
![]() |
![]() |
|
| 右前腕骨骨折 | オスグット治療中 | L4L5MRI検査にてヘルニア確認 (Dr委任) |
|
![]() |
![]() |
![]() |
|
| サッカーにより前十字靭帯断裂後のリハビリ中 | 交通事故頸部挫傷治療中 | 頸部へのアジャスト中 | |
![]() |
![]() |
![]() |
|
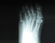
| 骨折・シーネ固定中 | 左第5趾MP脱臼及び第4趾骨折 | ||
![]() |
![]() |
![]() |
|
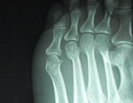
| 仕事中に外傷され左第4基節骨上部骨折及び第5指MP関節脱臼Drの委任のもとに施療中 | 中学生サッカー右膝関節受傷靭帯損傷テスト | PNF施療中 | |
![]() |
![]() |
![]() |
|
| 女子高校生右拇指突指による ティーピング |
小学生男子空手練習中に鎖骨骨折 肩鎖関節損傷第1度 |
右膝関節ROM痛著明で当日Drに レントゲン検査依頼し当院CD持参により説明 |
|
![]() |
![]() |
![]() |
|
| TFCCによりプライトン作成中 | ゴルフ部男子への腰部キネシオ中 | 同学生肩関節キネシオ中 | |
![]() |
![]() |
![]() |
|
| マレットフィンガーDrに依頼施療中 | 同患者のレントゲンDr依頼により当院にて施療 | ||
※掲載写真は10年ほど前のものです


































